三维脑模体
三维脑模体
可以按照客户要求非标定制,以下为产品的可供参考的:技术参数与应用说明,仅供参考,更多详情请咨询:廊坊玉双仪器设备有限公司
实体厂家,非标订制,一件起订,134-7367-2973 微信同号
以下图片和参数,仅供参考!!!更多详情,请咨询:134-7367-2973 微信同号

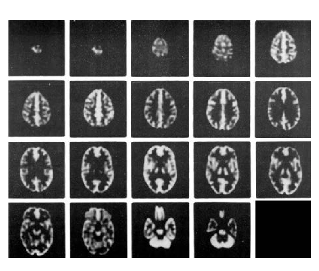
在脑部SPECT及脑部PET的研究中,从解剖学角度精确的模拟放射性分布;
在MRI研究中,精确模拟质子密度及驰豫参数的分布。
● 在血流和代谢研究中模拟正常灰质和白质的 4:1 摄取率(按部分体积效应模拟)。
● 单体可填充腔室设计,消除了制备不同浓度放射性物质的必要。
● 为基底神经节区域提供了可填充固体缺陷。

2.模体主要应用
可用于脑部ECT研究中对图像获取及重建方法的评估
3D重建方法评估
3D衰减及散射补偿方法评估
3D,SPECT,PET及MRI系统配准技术评估
科研应用
3.可填充/解决缺陷集
热冷缺陷可能位于丘脑区域
允许用户确定缺陷的图像形状


下一篇:没有了





